MOCK-UP – test drive do Sorriso
Grandes restaurações estéticas do sorriso podem gerar uma certa ansiedade, surgindo muitas dúvidas principalmente no que diz respeito ao futuro design dos dentes e como ele combinará com o rosto. Muitas vezes, até mesmo antes de procurar o dentista, o paciente se pergunta: “será que vou gostar do resultado final?”. Saiba que hoje é possível realizar uma espécie de test drive na odontologia, o mock-up.
Em uma definição simples, a palavra mock-up vem do inglês e significa “modelo” ou “maquete”. Na odontologia, esse modelo pode ser considerado uma espécie de ensaio restaurador do sorriso, tornado possível a pré-visualização do resultado final, permitindo ao paciente sentir em sua própria boca como será o design do seu novo sorriso.
Após o planejamento inicial, o mock-up é feito colocando com uma resina provisória. Assim, as lentes planejadas são simuladas e colocadas em boca, para avaliação da forma do futuro sorriso. Nesse momento o paciente avalia e informa se quer fazer alguma alteração. Aprovada a forma do novo sorriso, imprimimos um modelo 3D e fazemos as lentes provisórias, que servirão de referência de forma e cor para o trabalho final.
Com a odontologia moderna a forma de se esculpir um novo sorriso mudou completamente. Hoje levamos em conta diversos aspectos, principalmente o planejamento digital do sorriso (DSD), a personalidade do paciente através do visagismo odontológico e o mais importante: suas opiniões e desejos. Essa nova abordagem se encaixa perfeitamente ao conceito do mock-up, pois como o processo ficou muito mais complexo, a possibilidade de fazer uma espécie de test-drive antes do tratamento definitivo constitui um grande salto na relação de confiança entre o dentista e seu paciente, além da segurança de sua satisfação no resultado final.
Com o mock-up, o dentista pode mostrar o seu planejamento estético sem que nenhum desgaste dentário seja realizado. Além disso, o paciente pode participar ativamente da construção de seu futuro sorriso. Antes do mock-up, quem procurava a odontologia estética tinha que confiar totalmente ao dentista o design de seu sorriso e nem sempre o resultado supria suas expectativas. Hoje, já é possível a interação com o profissional e caso o paciente não fique satisfeito, o dentista pode realizar novo planejamento e fazer outro mock-up levando em conta seus desejos.
Mesmo tendo caráter provisório, o mock-up é feito em material de alta qualidade (resina bisacrílica), e possui aspecto muito parecido com os dentes naturais, dando ao paciente a possibilidade de utilizá-lo por algum tempo antes de realizar o procedimento definitivo. Dessa maneira, é possível acostumar-se não só com a estética, mas também com a parte funcional do seu novo sorriso.

Pessoas com dentes separados, quebrados ou amarelados podem usar o o mockup para ver o futuro resultado em sua própria boca
Pessoas com dentes separados, muito curtos ou que não estão satisfeitas com a cor, forma e o alinhamento dos dentes e desejam transformar seu sorriso, podem usufruir do mock-up que é utilizado largamente antes de procedimentos estéticos de alto nível como facetas e lentes de contato dentais.
Descubra no mock-up, a melhor forma de planejar a arquitetura do seu novo sorriso!
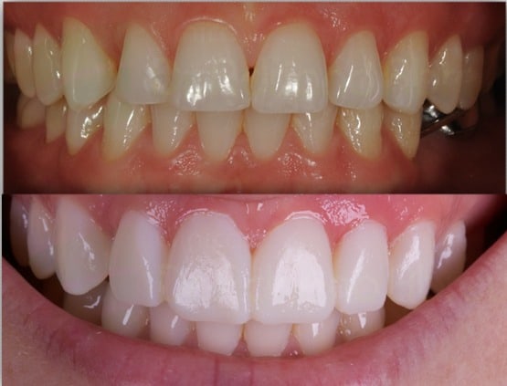
Caso Clínico 1
Arraste para os lados e compare os resultados do mock-up
[beforeafter]

[/beforeafter]
Veja a construção deste sorriso com o Mock-up!
Caso Clínico 2
Arrastes para os lados e compare o resultado:
[beforeafter]
[/beforeafter]
Veja a construção deste sorriso!




