Curso sobre Zircônia e gengiva sobre Zircônia aplicada em prótese odontológica Curso sobre Zircônia e gengiva sobre Zircônia aplicada em prótese odontológica Ver essa foto no Instagram …
Curso sobre Zircônia e gengiva sobre Zircônia aplicada em prótese odontológica Curso sobre Zircônia e gengiva sobre Zircônia aplicada em prótese odontológica Ver essa foto no Instagram …
Curso de Especialização em DTM, Dor Orofacial e Sono, realizado pela Faculdade do Hospital Israelita Albert Einstein Curso de Especialização em DTM, Dor Orofacial e Sono Ver essa…
Dia de entrevista para a @tvverdesmares – Logo mais, na @tvglobo Dia de entrevista para a @tvverdesmares Ver essa foto no Instagram Um post compartilhado por Dr…
Dicas sobre saúde bucal no carnaval – Dra Raquel Fiterman para o programa Nordeste TV da @verdinhaoficial da @tvverdesmares Dicas sobre saúde bucal no carnaval – Dra Raquel Fiterman Vai…
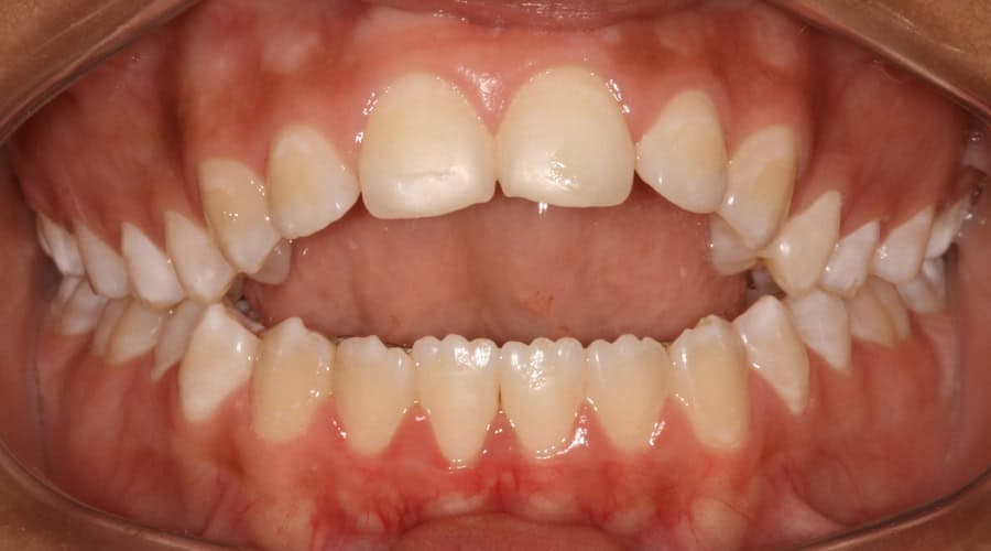
Mordida aberta na infância: causas e tratamentos Mordida aberta na infância: causas e tratamentos A saúde bucal das crianças vai muito além de dentes bonitos — ela influencia a fala,…
Dicas Essenciais de Saúde Bucal com a Dra Raquel Fiterman: A Importância da Higienização da Língua Entenda as Dicas de Saúde Bucal com Dra Raquel Fiterman e a Relevância da…
Pós-graduação em Adequação Nutricional e Manutenção da Homeostase Dr. Lair Ribeiro, que ministrou o curso em São Paulo de Adequação Nutricional e Manutenção da Homeostase Ver essa foto no Instagram…
Dra Raquel Fiterman da dicas de saúde bucal desde aos pequenos, até aos idosos Saúde bucal desde aos pequenos, até aos idosos – Entrevista a @verdinhaoficial da @tvverdesmares Ver essa…
Curso sobre Maquiagem Fotopolimerizável – Laboratorial das próteses dentárias | Ministrado pela @flaviatpd Maquiagem Fotopolimerizável Laboratorial das próteses dentárias Final de semana de muito estudo. Fiz um curso…
Curso de impressão 3D no Dia a Dia Impressão 3D no Dia a Dia A odontologia digital tem evoluído a passos largos, trazendo inovações que revolucionam práticas clínicas. Neste cenário,…