
Mordida aberta na infância: causas e tratamentos
Mordida aberta na infância: causas e tratamentos
A saúde bucal das crianças vai muito além de dentes bonitos — ela influencia a fala, a mastigação, a respiração e até o desenvolvimento da face. Um problema relativamente comum nessa fase é a mordida aberta, e quanto mais cedo ela é identificada, melhores são os resultados do tratamento.
O desenvolvimento dental na infância é um processo complexo que pode ser influenciado por diversos fatores. A mordida aberta pode ter várias implicações, incluindo dificuldades na fala e na alimentação, que impactam diretamente na qualidade de vida da criança. Exemplos de como isso afeta o cotidiano incluem a frustração ao tentar comer certos alimentos, o que pode levar à aversão a uma dieta saudável.
🦷 O que é mordida aberta?
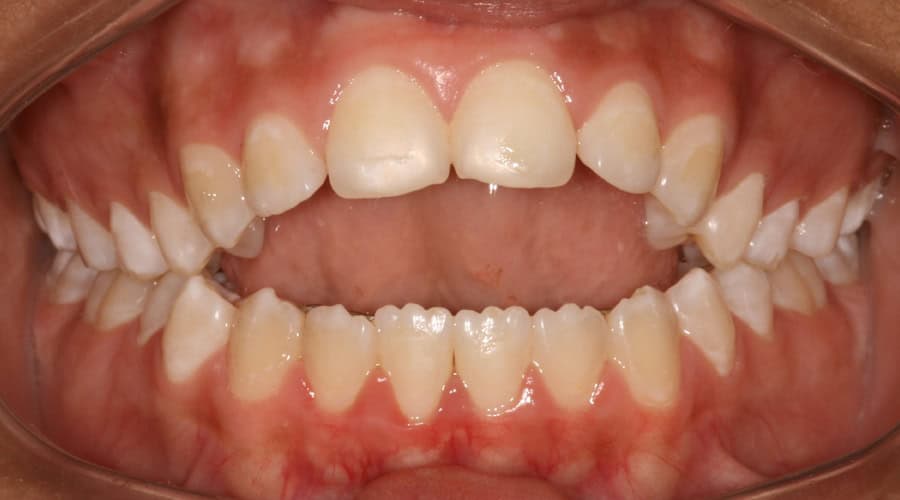
A mordida aberta acontece quando os dentes de cima e de baixo não se encostam ao fechar a boca. Isso pode ocorrer na região da frente (mais comum) ou nos dentes de trás.
Na prática, a mordida aberta pode manifestar-se de diferentes maneiras. Por exemplo, uma criança pode ter dificuldades em comer maçãs ou cenouras cruas, que exigem um tipo de mordida mais incisiva. Além disso, a falta de contato entre os dentes pode causar desgaste irregular em outras partes da arcada dentária, levando a problemas futuros de oclusão.
Na prática, os pais costumam perceber que:
-
A criança fecha a boca, mas os dentinhos da frente não tocam
-
Há dificuldade para morder alimentos como sanduíches ou frutas
-
Pode haver alteração na fala
-
A língua aparece entre os dentes ao engolir ou falar
👶 Quais são as causas da mordida aberta infantil?
Na infância, a mordida aberta geralmente está relacionada a hábitos e funções orais, mais do que a problemas apenas dentários.
As causas mais frequentes são:
✔ Uso prolongado de chupeta
O hábito de chupar chupeta por muito tempo exerce pressão constante sobre os dentes e ossos em formação.
O uso prolongado de chupetas pode levar a um desenvolvimento anômalo da boca, resultando em complicações que vão além da estética. Por exemplo, pode ser necessário o uso de aparelhos ortodônticos mais tarde, aumentando o tempo e o custo do tratamento ortodôntico.
✔ Sucção do dedo
Assim como a chupeta, o dedo entre os dentes altera o crescimento da arcada dentária.
✔ Respiração pela boca
Crianças que respiram mais pela boca do que pelo nariz podem apresentar alterações no crescimento facial, postura da língua e posicionamento dos dentes.
A respiração pela boca não só afeta o alinhamento dos dentes, mas também pode interferir na qualidade do sono da criança, levando a problemas como apneia do sono. Essa condição pode resultar em fadiga, dificuldade de concentração e até problemas comportamentais.
✔ Interposição da língua
Quando a língua empurra os dentes ao engolir ou falar (deglutição atípica), ela pode manter os dentes afastados.
É importante observar que a interposição da língua pode ser um hábito inconsciente e, muitas vezes, a criança não percebe que está fazendo isso. Essa condição pode exigir a intervenção de um fonoaudiólogo para ajudar a criança a desenvolver uma deglutição adequada.
✔ Fatores genéticos
Em alguns casos, o padrão de crescimento ósseo da face também contribui.
Os fatores genéticos podem ser determinantes na formação da arcada dentária. Por exemplo, se um dos pais teve problemas dentários semelhantes na infância, a criança pode ter maior propensão a desenvolver uma mordida aberta. Isso ressalta a importância de monitorar o desenvolvimento oral desde cedo.
👉 Importante: geralmente não é apenas um fator, mas a combinação de hábitos e crescimento.
⚠️ Quais os prejuízos se não tratar?
A mordida aberta não é apenas estética. Ela pode causar:
Além dos problemas de mastigação e fala, a mordida aberta pode levar a um aspecto facial alterado, o que pode impactar a autoestima da criança. O desenvolvimento psicológico e social é crucial nesta fase da vida, e qualquer desvio do normal pode causar inseguranças.
-
Dificuldade na mastigação
-
Problemas de fala
-
Alterações na respiração
-
Maior risco de problemas na articulação da mandíbula (ATM)
-
Impacto na autoestima da criança
Quanto mais tempo o problema permanece, maior a chance de precisar de tratamentos mais complexos no futuro.
🛠️ Como é o tratamento da mordida aberta?
O tratamento depende da idade da criança, da causa e da gravidade, mas a grande vantagem é que na infância o crescimento ainda está em fase ativa, o que facilita a correção.
Os tratamentos ortodônticos em crianças podem incluir o uso de aparelhos móveis e fixos, dependendo da gravidade do caso. A correção precoce não só melhora a estética, mas também facilita a função oral adequada e a aceitação social da criança.
As abordagens podem incluir:
🦷 Aparelhos ortodônticos infantis
Ajudam a guiar o crescimento dos ossos e o posicionamento dos dentes.
👅 Terapia miofuncional (fonoaudiologia)
Trabalha a posição da língua, respiração e deglutição.
A terapia miofuncional é uma abordagem que pode ajudar a reeducar a posição da língua, o que é crucial para corrigir a mordida aberta. Além disso, as técnicas de respiração e deglutição trabalhadas na terapia têm um papel importante na prevenção de problemas futuros.
🤝 Acompanhamento multidisciplinar
Pode envolver odontopediatra, ortodontista, fonoaudiólogo e, em alguns casos, otorrinolaringologista.
🚫 Interrupção dos hábitos
Retirar chupeta, dedo e outros hábitos é essencial para que o tratamento funcione.
Eliminar hábitos como chupar o dedo ou usar chupeta é fundamental para que as intervenções ortodônticas tenham sucesso. Essa interrupção pode ser desafiadora, mas com o suporte adequado, os pais podem ajudar suas crianças a superar esses comportamentos.
⏰ Quando procurar o dentista?
O ideal é que a criança passe por avaliação odontológica ainda nos primeiros anos de vida. Ao notar que os dentes da frente não encostam ou que a criança mantém hábitos orais por muito tempo, é importante buscar orientação.
Consultas regulares ao dentista podem ajudar a monitorar o desenvolvimento dental e a identificar problemas antes que se tornem graves. Esses exames são uma oportunidade para os pais aprenderem sobre a saúde bucal e os cuidados que devem ser tomados com os hábitos da criança.
O diagnóstico precoce permite tratamentos mais simples, menos invasivos e com melhores resultados.
💛 Conclusão
A mordida aberta na infância tem solução — e quanto antes for tratada, melhor para o desenvolvimento da criança. Cuidar da função, da respiração e dos hábitos é tão importante quanto alinhar os dentes.
Por fim, entender que os tratamentos dentários vão além da estética é crucial. Eles impactam a funcionalidade e o bem-estar geral da criança. Ao buscar o tratamento adequado, os pais estão investindo na saúde a longo prazo e no desenvolvimento saudável de seus filhos.
Se você percebe alterações na mordida do seu filho, nossa equipe está preparada para avaliar e indicar o melhor caminho para um crescimento saudável.
Para garantir a saúde bucal e o desenvolvimento adequado de seu filho, é essencial buscar informações e acompanhamento profissional. O tratamento da Mordida aberta na infância: causas e tratamentos deve ser iniciado o quanto antes para evitar complicações futuras.
Acompanhe nosso blog: https://odontologiaemfortaleza.com.br/category/blog/
Acompanhe nosso Instagram: https://www.instagram.com/clinicaadrianoabreu/
